
Knee osteoarthritis is a chronic disease that will affect an ever increasing number of patients, especially the elderly and the obese. It is characterized by degeneration of the cartilage substance inside the knee which leads to pain, stiffness and tenderness. Millions of people suffer from knee pain, and many have been told they need immediate knee replacement.
While it is true that some people might indeed need surgery, MOST patients have not tried all of the nonsurgical knee pain relief treatments that are available. Many patients are scared of surgery and are looking for alternative treatments. Knee pain is most often due to arthritis, or inflammation of the joint. When this occurs there is a lot of friction in the knee joint which leads to pain and swelling.

Nonsurgical knee pain relief treatments are designed to reduce pain and swelling
Bracing

Bracing can sometimes stabilize the affected area, and reduce pain in the joint. A good fitting and properly prescribed brace, or splint, can be very beneficial for the nonsurgical treatment of knee pain. Braces are classified in a category of medical products called Durable Medical Equipment (DME). Some DME products, like knee braces and various splints, help provide long lasting support and rehabilitation for Knee pain and various other medical conditions.
Physical Therapy
Physical therapy, or rehab as some people call it, can ease your muscle and joint pain. You’ll work with a physical therapist, a licensed professional who uses a variety of methods to help strengthen your muscles and make your body feel and move better.

Some things you might need are:
-Stretches and exercise
-lce and heat
-Ultrasound massage
-Electrical nerve or muscle stimulation
Sometimes physical therapy is all you need for treatment. You might not need surgery.
Corticosteroid injections
Steroid or “cortisone” injections are useful for treating flare-ups of OA pain and swelling with fluid buildup in the knee.
Typically, cortisone shots include a corticosteroid medication to relieve pain and inflammation over time and an anesthetic to provide immediate pain relief.
The procedure involves having the area around the injection site cleaned. Your doctor might also apply an anesthetic spray to numb the area where the needle will be inserted. In some cases, your doctor might use ultrasound or a type of X-ray called fluoroscopy to watch the needle’s progress inside
your body — so as to place it in the right spot.

You’ll likely feel some pressure when the needle is inserted. The medication is then released into the injection site.
Viscosupplementation (Rooster Comb) Injections
In a healthy joint, a thick substance called synovial fluid provides lubrication, allowing bones to glide against one another. Synovial fluid also acts as a shock absorber, reducing both friction and pain. In people with osteoarthritis, a critical substance in synovial fluid known as hyaluronic acid breaks down. Loss of hyaluronic acid appears to contribute to joint pain and stiffness. Hyaluronic acid injections are a treatment for knee pain that has almost no side effects. They act like a lubricant in the knee. These injections can be seen advertised in the newspaper and on TV. These injections can be used to delay or prevent a knee replacement. They are done in a series of 3 shots, and have no down time. This is also a same day procedure that is done in the office, rather than in the hospital. Some of the current products available are Eufflexa, Hymovis, Synvisc and Synvisc One.

Platelet Rich Plasma
Platelet rich plasma works with the natural healing process occurs to repair the damaged tissue. The body signals platelets and other components in our blood supply to migrate to the site of injury. Under normal conditions, these platelets release a variety of factors that initiate and subsequently promote healing. New advances in medicine have been developed to harness and concentrate these platelets to be precisely introduced to the injury site in an injectable form. The platelets are separated from a small amount of the patient’s own blood and injected into the affected area, potentially “supercharging” the body’s capacity for healing.

Stem Cell Therapy
Patients with knee pain are frequently told that their joints are bone on bone, a statement that often over-exaggerates the extent of cartilage damage to the joint. Many times, there are areas of cartilage thinning that respond well to the regenerative stem cell procedure, allowing the patient’s body to naturally repair the damaged area.

The process of extracting the stem cells from the body then injecting into a degenerative knee joint has been proven to result in significant cartilage growth, decreased pain and increased joint mobility.
Surgical Options for relief of knee pain
Knee Arthroscopy

Your doctor may recommend knee arthroscopy if you have a painful condition that does not respond to nonsurgical treatments as listed above. Knee arthroscopy may relieve painful symptoms of many problems that damage the cartilage surfaces and other soft tissues surrounding the joint.
Common arthroscopic procedures for the knee include:
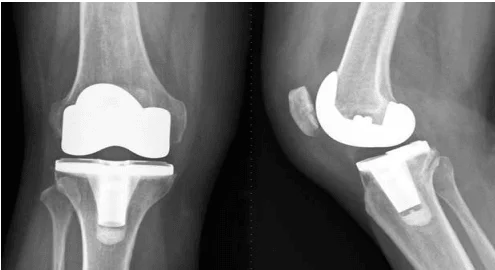
Knee Replacement
A total knee replacement is a surgical procedure whereby the diseased knee joint is replaced with artificial material. The knee is a hinge joint which provides motion at the point where the thigh meets the lower leg. During a total knee replacement, the end of the thigh bone (femur) is removed and replaced with a metal shell. The end of the lower leg bone (tibia) is also removed and replaced with a channeled plastic piece with a metal stem. Depending on the condition of the kneecap portion of the knee joint, a plastic “button” may also be added under the kneecap surface. The artificial components of a total knee replacement are referred to as the prosthesis.

Fields Marked With An ” *” Are Required